医学期刊《国际抗菌剂杂志》网站5月3日刊登法国巴黎东北郊塞纳-圣但尼医院集团主持撰写的短篇通讯论文,证实新冠病毒2019年12月底已在法国传播。法国商业调频电视台(BFMTV)、英国广播公司(BBC)、美国有线电视新闻网(CNN)、路透社(Reuters)等各大外媒纷纷转载报道,引发舆论关注。

△图为论文首页

△论文截图,报告显示此次发现病例比法国首次报告早一个月
患者男性最近一次旅行是2019年8月前往阿尔及利亚
论文中显示,研究人员选取了14个在2019年12月2日到2020年1月16日期间因类流感疾病(ILI)入住重症监护室的病例,并将其鼻(咽)拭子从零下80摄氏度的冷藏环境中取出,于今年4月6日到4月9日重新进行新冠病毒核酸检测。值得注意的是,这些病例在入院时接受FilmArray快速呼吸道病原体检测结果呈阴性。

△CNN相关报道
研究人员此次发现一名42岁男子的样本新冠病毒检测呈阳性。该男子职业为鱼贩,出生在阿尔及利亚,已长居法国多年,最近一次旅行是在2019年8月前往阿尔及利亚。

△论文截图

△CNN相关报道“该男子长期居住法国,最近一次旅行是2019年8月前往阿尔及利亚”
据BBC报道,为了确保没有错误,医生测试了两次,两次都是阳性。

△BBC相关报道
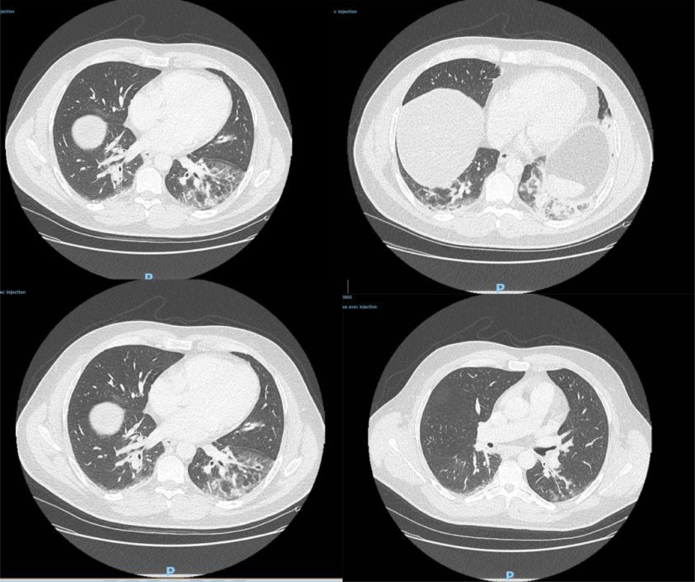
据了解,患者去年12月27日到急诊室就医,CT检查显示双侧肺下叶呈现磨玻璃影,并伴有咯血、咳嗽、头痛及发热症状,且当时症状已持续4天。病患当天被收入重症监护室并接受抗生素治疗,后因病情好转于12月29日解除重症监护。

△图为病患CT检测影像
国外网友:关注科学研究对疫情认识的改变
消息一出,引发网友热议,有网友称,新冠病毒在12月就已经开始在欧洲传播了!

△证据证明新冠病毒在12月就已经在欧洲开始传播了。
有的网友说,新的研究支撑了“新冠病毒可能起源于任何一个国家”的观点,可能在11月就已经悄悄地在全球蔓延。

△网友:可能在11月就已经悄悄地在全球蔓延。
也有网友表示,如果这份12月2日在巴黎的病例被证实了,这无疑击碎了新冠病毒是由中国实验室泄漏的说法。因为病毒是绝不可能在11月底从武汉一下子蹦到巴黎的。

△网友:这无疑击碎了新冠病毒是由中国实验室泄漏的说法,因为病毒是绝不可能在11月底从武汉一下子蹦到巴黎的
监制丨陆毅
制片人丨赵新宇
编辑丨郑立恒













